STAINS
STAndardIzation & Normalization of histological Slides
Troppo spesso la qualità dei vetrini istologici non è ottimale per fornire diagnosi rapide e di qualità. STAINS (STAndardIzation & Normalization of histological Slides) migliora la qualità dell’immagine digitale a disposizione dell’anatomopatologo.
Criticità tipiche della diagnosi istopatologica
La diagnosi istopatologica riveste un ruolo cruciale nella pratica medica, specialmente nell’analisi dei tumori. Spesso, l’ispezione visiva dei campioni può essere ostacolata dalla qualità subottimale del preparato e dalla variabilità della colorazione dei vetrini, che possono influire negativamente sul processo sia in termini di accuratezza che di tempo. Questi problemi si aggravano se inseriti in un contesto di pressione crescente sugli operatori di laboratorio e medici di Anatomia Patologica, dovuta all’aumento dei casi tumorali e dei dettagli richiesti che devono essere refertati con precisione. Allo stesso modo, immagini digitali che presentino un’elevata variabilità nella colorazione possono diminuire le performance dell’intero flusso di lavoro del reparto di Anatomia Patologica.
STAINS è una soluzione
Algoritmo automatico progettato ad hoc per affrontare queste problematiche, STAINS è in grado di ricalibrare digitalmente il profilo cromatico di un’immagine istologica di scarsa qualità per renderlo simile a quello ottimale scelto dall’anatomopatologo, riducendo la variabilità introdotta durante il processo di colorazione e scannerizzazione dei campioni.
Durante il processo di refertazione, STAINS consente all’anatomopatologo di osservare il campione con una colorazione ottimale, facilitando il processo di diagnosi.
STAINS è disponibile per le seguenti colorazioni e tessuti:
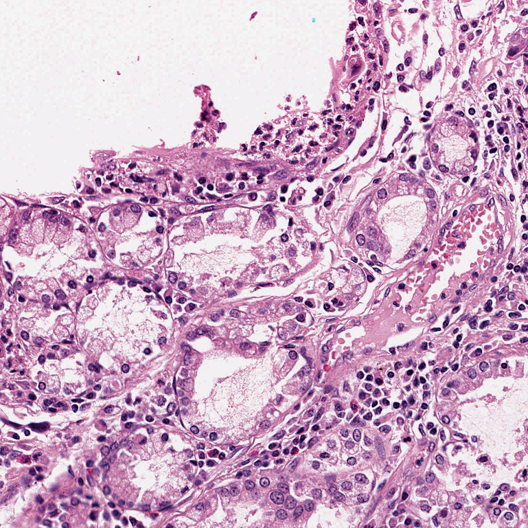
- Ematossilina ed Eosina (H&E) per i tessuti di prostata, polmone, fegato, mammella, colon, stomaco, utero – Dispositivo medico-diagnostico in vitro – IVD, secondo il Regolamento (UE) 2017/746 (IVDR);
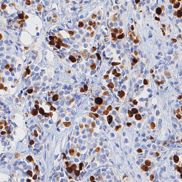
- Colorazioni IHC con i seguenti marcatori Ki67, PGR, HER2 e ER per il tessuto mammario – Dispositivo medico-diagnostico in vitro – IVD, secondo il Regolamento (UE) 2017/746 (IVDR);
- Colorazione speciale PAS per i tessuti di rene, polmone e fegato*;
- Colorazione speciale Tricromica (di Masson-green) per i tessuti di rene, miocardico e fegato*.
Il prodotto STAINS genera un nuovo vetrino digitale normalizzato, senza modificare direttamente il vetrino originale.
* Dispositivo utilizzabile solo per scopi di ricerca


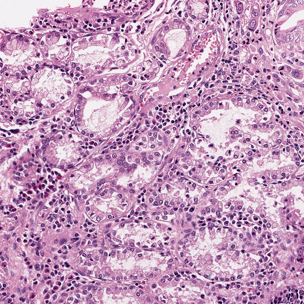
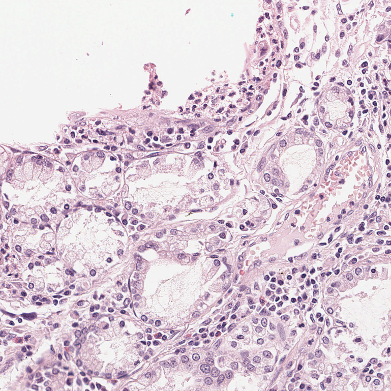
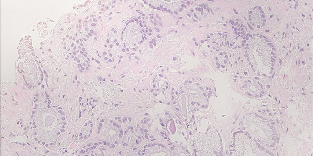
Immagine di tessuto di stomaco con colorazione ematossilina ed eosina, originale (sinistra) e normalizzata con STAINS (destra).


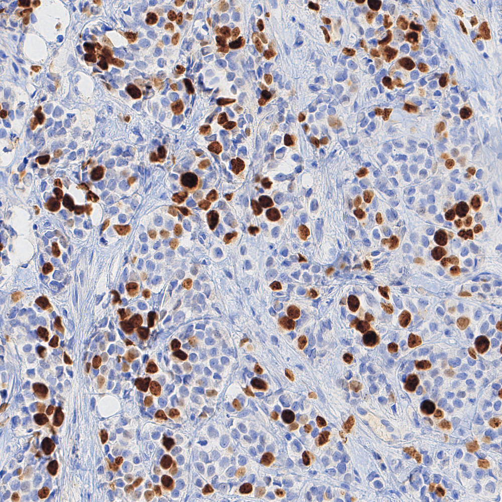
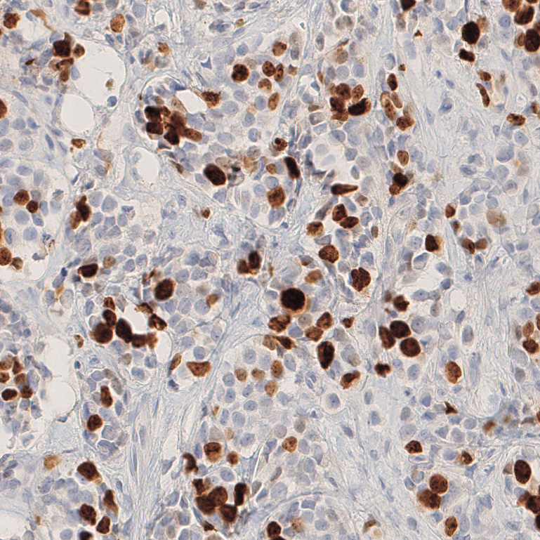
Immagine di tessuto mammario con colorazione immunoistochimica (Ki67), originale (sinistra) e normalizzata con STAINS (destra).
Non hai ancora le credenziali?
Scrivici e scoprirai tutte le potenzialità di STAINS