ASSIST
Automated Structure-based Segmentation method for the Identification and Staging of Tumor aggressiveness
Oggi la diagnosi istopatologica richiede sempre più spesso quantificazione accurata, classificazione e documentazione strutturata dei reperti. L’intelligenza artificiale di ASSIST supporta l’anatomopatologo nell’analisi dei vetrini digitalizzati, fornendo strumenti avanzati di segmentazione, classificazione e quantificazione.
La diagnosi istopatologica è sempre più impegnativa e complessa
La diagnosi istopatologica non si limita alla sola osservazione dei campioni, ma richiede sempre più spesso quantificazione accurata, classificazione e documentazione strutturata dei reperti. La crescente complessità dei casi oncologici e l’aumento del numero di biomarcatori da valutare comportano un notevole carico di lavoro per i patologi, che devono garantire precisione, tracciabilità e rapidità nella refertazione. In questo contesto, i metodi manuali tradizionali risultano spesso lenti, soggettivi e difficilmente scalabili, incidendo negativamente sull’efficienza complessiva del reparto.
ASSIST al fianco degli anatomopatologi
ASSIST* è un prodotto basato su intelligenza artificiale progettato per supportare l’anatomopatologo nell’analisi dei vetrini digitalizzati, fornendo strumenti avanzati di segmentazione, classificazione e quantificazione.
Il dispositivo si inserisce all’interno di una complessa attività diagnostica, in cui l’individuazione e caratterizzazione delle strutture istologiche è fondamentale per il processo diagnostico. ASSIST è progettato per aumentare la precisione diagnostica, ridurre la variabilità e velocizzare la refertazione, offrendo un insieme completo di strumenti automatizzati ma sempre sotto il controllo del professionista.
Le principali funzionalità comprendono:
- Segmentazione, classificazione e caratterizzazione delle strutture istologiche
- Quantificazione oggettiva
- Reportistica e tracciabilità clinica
*Dispositivo in fase di certificazione secondo il Regolamento (UE) 2017/746 (IVDR).
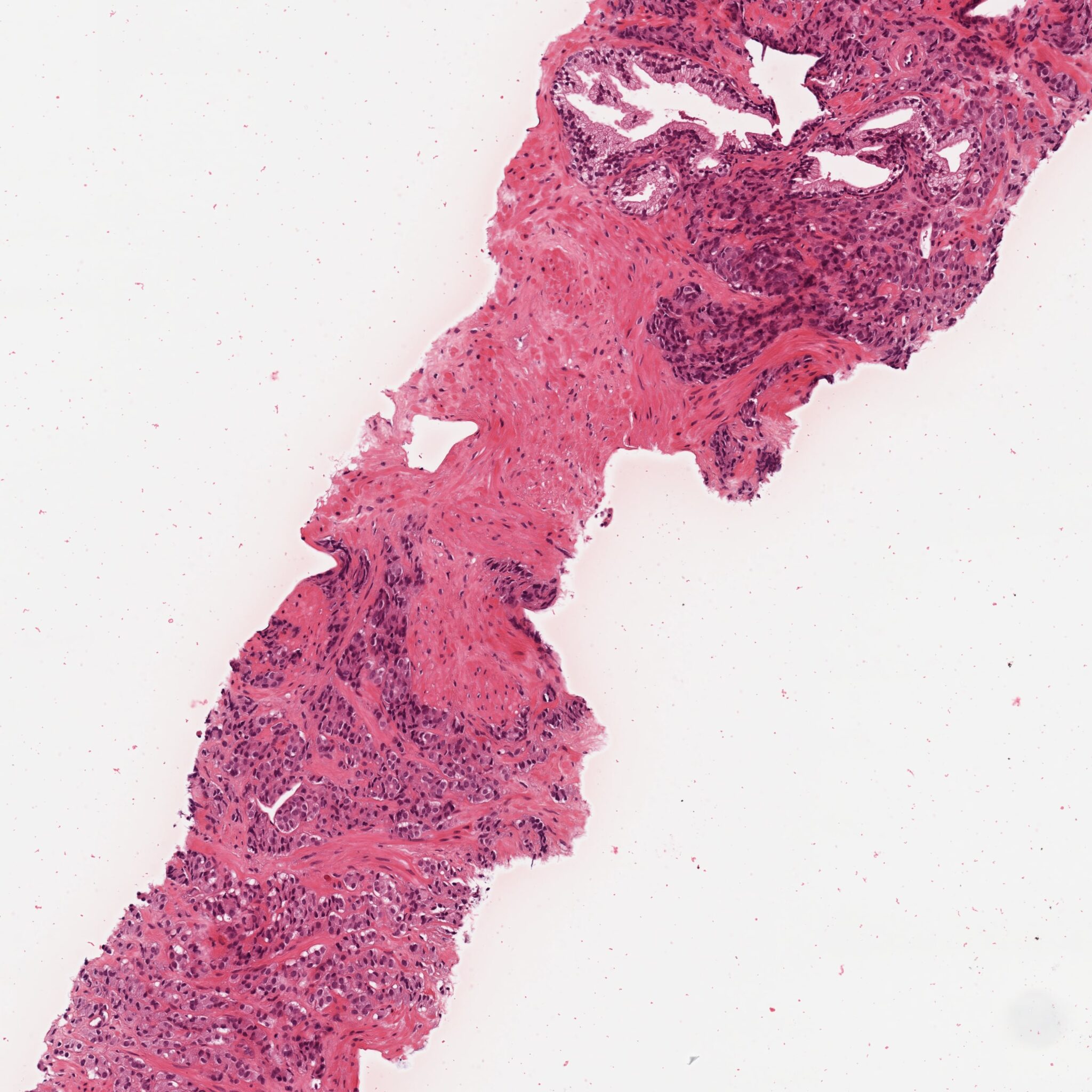
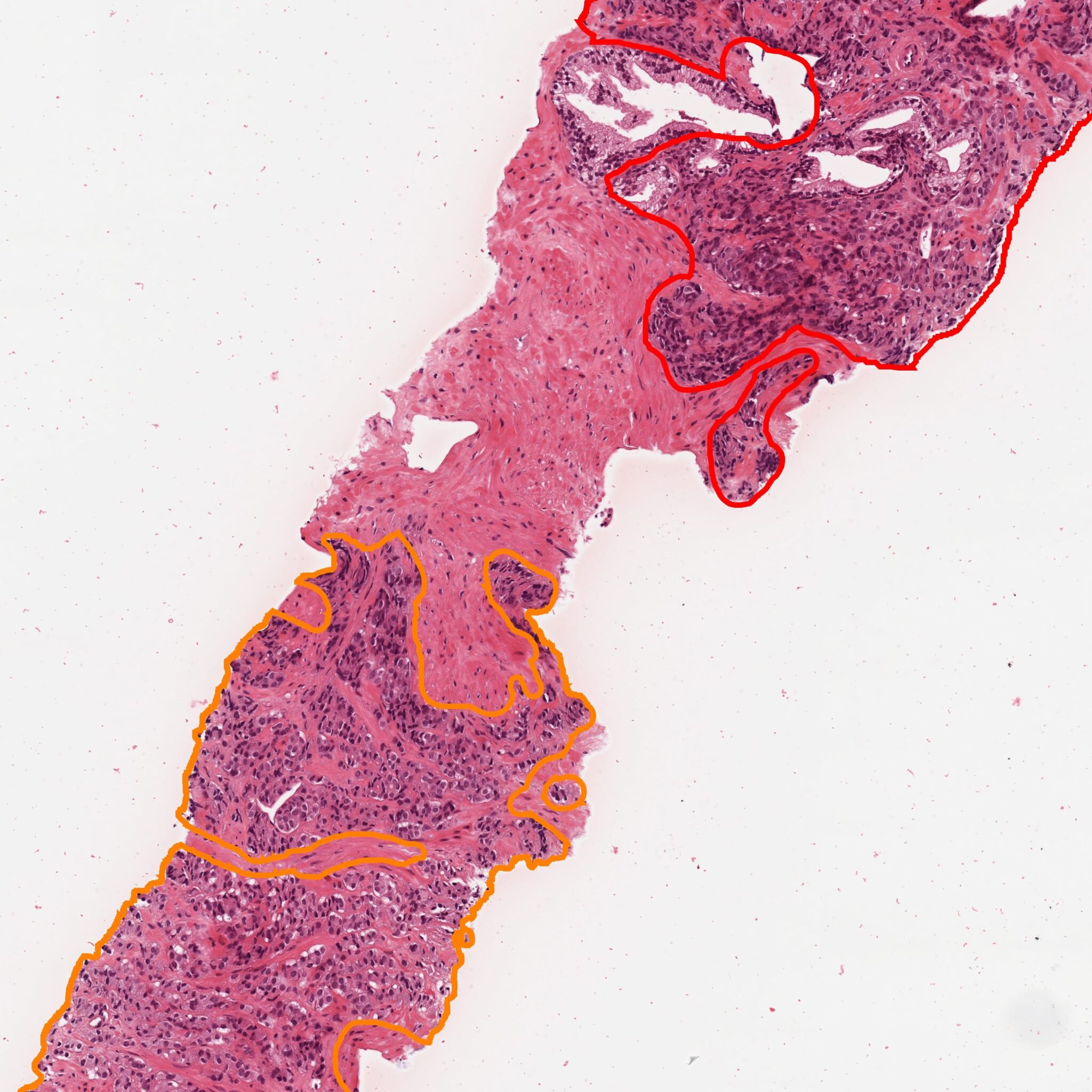
ASSIST Prostate
ASSIST* Prostate utilizza modelli AI per localizzare e caratterizzare l’adenocarcinoma in immagini digitali di tessuto prostatico con colorazione H&E.
- Segmenta automaticamente le aree tumorali, classificandole in Gleason pattern 3,4,5.
- Fornisce le segmentazioni, escludendo aree non rappresentative o contenenti artefatti.
- Estrae parametri quantitativi rilevanti per il processo diagnostico, tra cui Gleason Score, Grade Group e Percentuale Lineare di Tumore.
- Genera automaticamente report standardizzati, fornendo al patologo un supporto oggettivo e riproducibile per la valutazione diagnostica e la caratterizzazione dell’adenocarcinoma prostatico.
*Dispositivo in fase di certificazione secondo il Regolamento (UE) 2017/746 (IVDR).


Immagine di tessuto prostatico con colorazione ematossilina ed eosina, originale (sinistra) e elaborata con ASSIST (destra)
ASSIST Breast
ASSIST* Breast utilizza modelli AI per localizzare e caratterizzare i nuclei in immagini digitali di tessuto mammario con colorazione immunoistochimica per i seguenti biomarcatori: ER, Ki67, PgR.
- Segmenta automaticamente i nuclei, classificandoli in nuclei positivi e nuclei negativi al biomarcatore. I nuclei positivi vengono distinti in nuclei debolmente, moderatamente e fortemente positivi.
- Fornisce le segmentazioni, escludendo aree non rappresentative o contenenti artefatti.
- Estrae parametri quantitativi rilevanti per il processo diagnostico, tra cui la conta nucleare e il Positivity Ratio.
- Genera automaticamente report standardizzati, fornendo al patologo un supporto oggettivo e riproducibile per la valutazione diagnostica e la caratterizzazione del tessuto mammario.
*Dispositivo in fase di certificazione secondo il Regolamento (UE) 2017/746 (IVDR).


Immagine di tessuto mammario con colorazione immunoistochimica (ER), originale (sinistra) e elaborata con ASSIST (destra)
Non hai ancora le credenziali?
Scrivici e scoprirai tutte le potenzialità di ASSIST