AEQUIP sviluppa soluzioni per l’Anatomia Patologica basate sulle tecnologie di Machine e Deep Learning
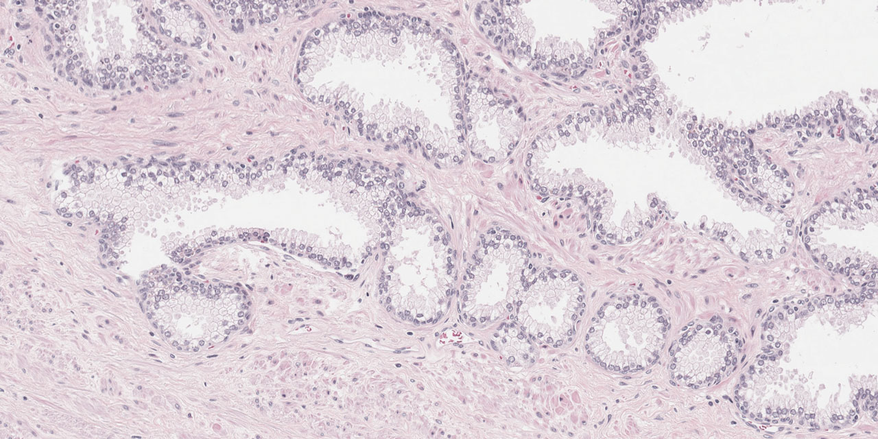
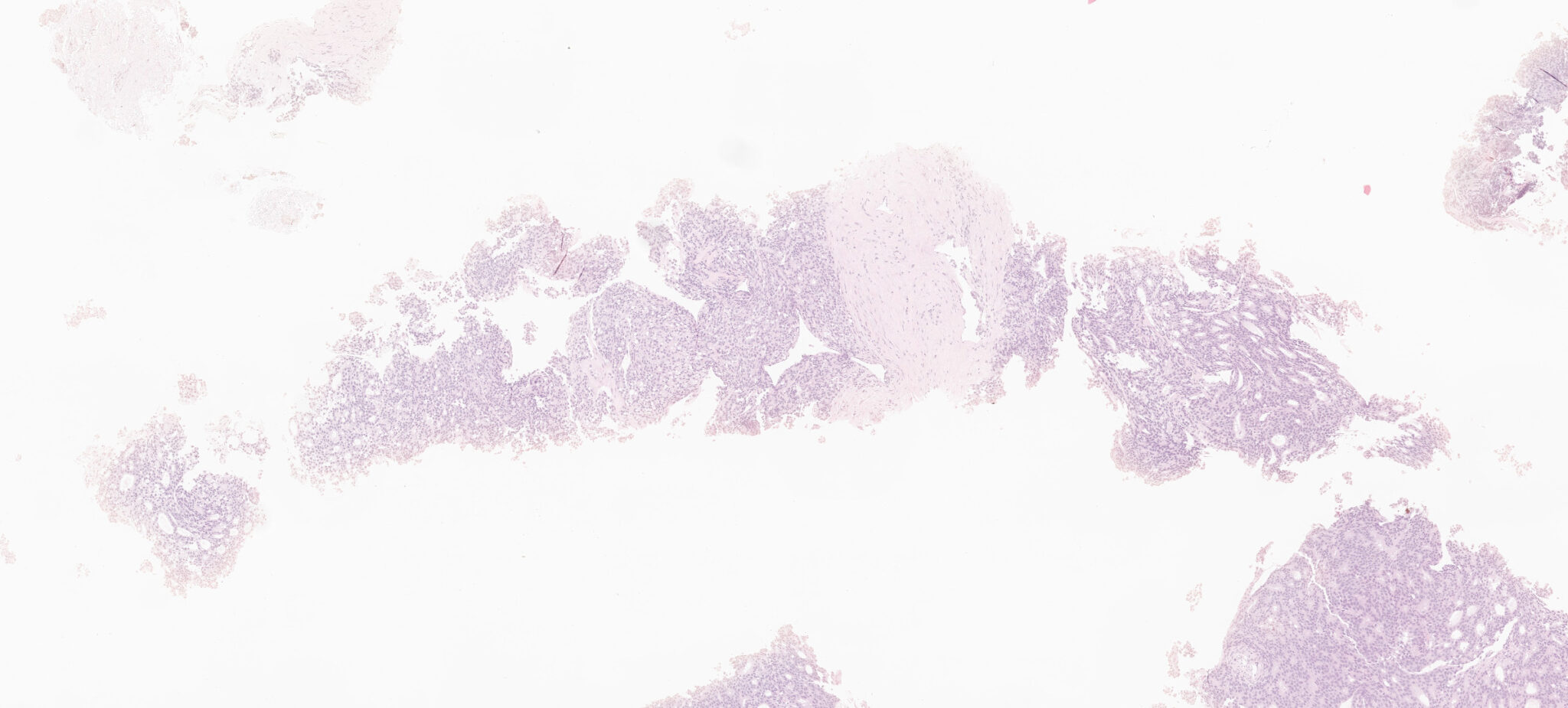
A partire da qualsiasi digitalizzatore sul mercato, e quindi da qualsiasi immagine digitale, AEQUIP è in grado di recuperare l’immagine e processarla con algoritmi proprietari, generando un output di carattere quanti-qualitativo utile a supportare l’anatomopatologo nella diagnosi.
Il vetrino fisico viene digitalizzato con l’utilizzo di appositi digitalizzatori.
Gli algoritmi brevettati da AEQUIP riducono la variabilità cromatica ed ottimizzano l’immagine digitalizzata.
Gli algoritmi proprietari di AEQUIP riescono ad estrarre parametri quantitativi specifici rispetto alla patologia ed al tessuto contenuto nel vetrino digitalizzato.

AEQUIP, acronimo di “Automated Enhanced QUantitative imaging in Immunohistochemistry and Pathology”, è un progetto di ricerca nato al Politecnico di Torino nel 2016 e divenuto Start up e Spin off del Politecnico di Torino nel 2020.
Vogliamo sviluppare strumenti innovativi e di supporto allo specialista, l’Anatomopatologo, per fornire diagnosi più veloci ed accurate al paziente. Il binomio Patologo-Macchina per una diagnosi più veloce e precisa.
L’impiego della tecnologia AEQUIP offre tre vantaggi decisivi:
VELOCIZZA L’INTERO WORKFLOW DIAGNOSTICO, CONCENTRANDOSI SUGLI ASPETTI PROBLEMATICI
ELEVA SENSIBILMENTE IL LIVELLO DI AFFIDABILITÀ DIAGNOSTICA

È UTILIZZABILE IN ABBINAMENTO A QUALSIASI TECNOLOGIA DI DIGITALIZZAZIONE, IN QUANTO FUNZIONA INDIPENDENTEMENTE DAL TIPO DI SORGENTE DELL’IMMAGINE DIGITALE

